Neurofibroma

 

Neurofibroma 1Neurofibroma 2

 

Definition

 

Benign Peripheral Nerve Sheath Tumour

- neurofibroma

- schwannoma

 

Epidemiology

 

Most common benign nerve sheath tumour

 

Classification

 

1.  Localised

 

Most common type

- originate from very small branches of cutaneous nerve

- usually solitary (90%) with no genetic association

- nil malignant transformation

 

2.  Diffuse

 

Uncommon

- proliferation of spindle cells, collagen & stroma

- permeates subcutaneous tissue & dermis

 

3.  Plexiform

 

Pathognomonic of Neurofibromatosis Type 1

- massive expansion of nerve by proliferating tumour cells

- small or large nerve

- elephantiasis or gigantism

- 10% malignant transformation

 

Clinical

 

Localised

- firm, painless mass

- may have pain / paraesthesia along course of nerve

- + Tinel's

 

Diffuse - plaque-like cutaneous mass

 

Plexiform - ropey redundant mass

 

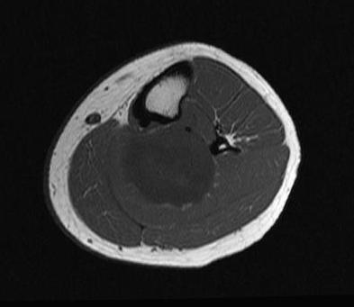
MRI

 

MRI features of nerve tumours PDF

 

Target sign

- hypointense centrally

- hyperintense peripherally

 

Neurofibroma 1Neurofibroma 2Neurofibroma 3Neurofibroma 4

Neurofibroma femoral nerve

 

Neurofibroma 1Neurofibroma

Neurofibroma brachial plexus

 

NF median 2NF median 3NF median 1

Neurofibroma median nerve

 

NF CPN 1NF CPN 2NF CPN 3

Neurofibroma common peroneal nerve

 

NFNFNF

Neurofibroma sciatic nerve

 

Diagnosis Neurofibromatosis type 1 (NF1) / Von Recklinghausen 

(Need 2 of the following)

 

1.  Six or more café-au-lait spots (over 5mm in prepubertal individuals and over 15mm in postpubertal individuals)

2.  Two or more neurofibromas of any type or one plexiform neurofibroma

3.  Freckling in the axillary or inguinal region

4.  Optic glioma

5.  Two or more Lisch nodules (iris hamartomas)

6.  A distinctive osseous lesion such as sphenoid dysplasia or thinning of the long bone cortex with or without pseudarthrosis

7.  A first degree relative (parent, sibling, or offspring) with NF1 by the above criteria

 

Plexi NFPlexi NF 2Plexi NF 3

Plexiform neurofibromas Neurofibromatosis Type 1

 

Multi NFMulti NF 2

Multiple neurofibromas Neurofibromatosis Type 1

 

Histology

 

Neurofibroma - proliferation of schwann cells / perineural cells / fibroblasts

 

Schwannomas / neurilemmoma - contain only Schwann cells

 

Management

 

Benign Peripheral Nerve Sheath Tumour

 

Technique

- not easily separated from nerve

- excision usually involves partial resection of nerve

- cutaneous nerve: resection

- nerve large and important: need interposition graft

 

Malignant Peripheral Nerve Sheath Tumour

 

Indications for biopsy

- rapid growth

- night pain

- size > 5 cm

 

Epidemiology

- 10% of sarcomas

- 50% seen in neurofibromatosis

- NF1 - 50% lifetime risk

 

Site 

- brachial plexus

- lumbosacral plexus

- major nerve trunks - especially the sciatic nerve

 

MRI

 

Neurofibrosarcoma Axial MRI NeurofibromatosisNeurofibrosarcoma MRI

 

Management

 

Aggressive, malignant tumours

 

Wide resection + radiotherapy

 

Kolberg et al Neuro Oncol 2013

- meta-analysis of 1,800 patients

- overall survival 44%