

Options
Darrach's
- distal ulna excision
- best for elderly RA patient
Bower's interpositional hemiarthoplasty
Technique
- best for young OA
- excision of arthritic portion through 5/6 compartment / hemiresection
- intact TFCC for interposition
Indications
- young OA
- not suitable in RA as TFCC damaged

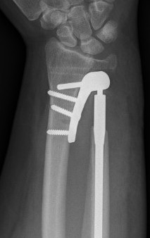
Suav-Kapanji
Technique
- distal radio-ulna arthrodesis with distal ulna pseuodoarthrosis
- distal ulna fused to distal radius with 2 screws
- distal ulna stabilised with half FCU
- interposition with pronator quadratus
DRUJ Replacement

