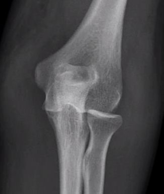
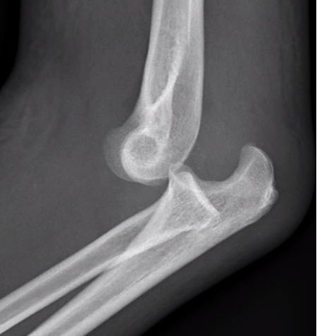
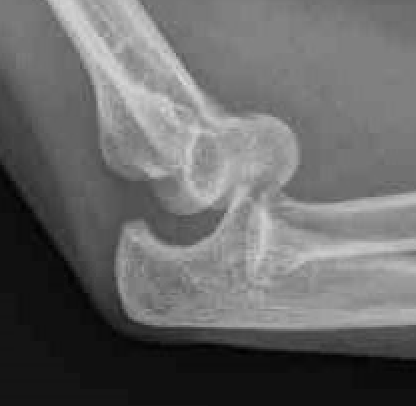
Simple elbow dislocation

 

elbow diselbow dis

 

Epidemiology

 

Second most common dislocation after shoulder

Most common 10 - 19 year age group

 

Mechanism

 

FOOSH

 

Classification

 

Direction of dislocation Degree of dislocation Simple / Complex
Posterior / posterolateral Complete Simple - no fractures
Final position of ulna relative to humerus Subluxed / perched 10% Complex - fractures

 

perchedPerched

Perched elbow dislocation / subluxation

 

Bony Anatomy

 

Ulnohumeral Joint Radiocapitellar Joint Distal Humerus

 

Trochlea and ulna highly conformed

- trochlea covered by cartilage in arc 300o

- trochlea separated from the capitellum by groove 

- trochlea 6o valgus which creates carrying angle

 

Concave radial head

- articulates with capitellum

- posteromedial 2/3 articulates with sigmoid notch ulna

- anterolateral 1/3 has no cartilage /  safe zone

Tilted anteriorly 30o in lateral plane

- 5o internally in transverse plane

- 6o of valgus in front plane

 

 

Radial head important secondary stabiliser, especially when MCL deficient

 

Centre of rotation

- trochlea

- centre of rotation anterior to humeral shaft

 

Elbow Valgus Carrying angleElbow Trochela Anterior AngulationElbow Centre of Rotation

 

Ligaments

 

Lateral collateral ligament Medial collateral ligament
Provides varus stability

Provide valgus stability in flexion

Four components Three components

1. Lateral Ulna Collateral Ligament 

- most important 

- lateral epicondyle to supinator crest

 

2. Radial Collateral Ligament - lateral epicondyle to annular ligament

 

3. Accessory Collateral Ligament - lateral epicondyle to annular ligament and supinator crest

 

4. Annular Ligament - anterior and posterior sigmoid notch

 

 

1. Anterior band

- most important

- medial epicondyle to sublime tubercle

 

2. Posterior band - medial epicondyle to olecranon

 

3. Transverse band

- olecranon to sublime tubercle

- groove for ulna nerve

 

 

lcl MCL

 

Elbow stabilizers

 

Primary Static Secondary Static Dynamic Stabilisers

 

Ulnohumeral joint / coranoid process

- 50% of stability

 

Radiocapitellar joint

Radial head

Anconeus

 

Anterior bundle of MCL

- valgus stability

 

Anterior capsule Common flexor / common extensor muscles

 

LCL

- varus stability

- posterolateral stability radial head

 

  Biceps / brachialis / triceps

 

Elbow dislocation patterns of injury / Horii circle of disruption

 

Begins on the lateral side

- progresses to the medial side in three stages

- anterior band of MCL is the last torn

 

Stage 1 Stage 2 Stage 3
Tear LCL Tearing of anterior capsule

 

Stage 3A 

- posterior band MCL torn

- anterior band MCL intact

- posterior dislocation

 

After reduction elbow stable with hand pronated

 

Posterolateral rotatory subluxation / instability

 

Incomplete posterolateral dislocation

Coranoid perches on trochlea

 

Stage 3B 

- anterior band of MCL also torn

- elbow needs to be flexed to > 30 - 40o to be stable

 

   

 

Stage 3C

- MCL torn and CFO /CEO torn

- elbow needs to be flexed > 90o to be stable

 

 

Simple versus Complex elbow dislocation

 

Simple

- pure ligamentous injury

- no fractures

 

Complex

- radial head fracture

- coronoid process fracture

- Terrible Triad (MCL + coronoid + coronoid fracture + radial head fracture )

- olecranon fracture +/- radial head +/- coronoid

- capitellar fractures

 

Acute Elbow Dislocation

 

elbow diselbow dis

 

Management

 

1. Reduction under conscious sedation

 

Traction / countertraction

- use thumbs to correct lateral displacement / push olecranon medially

- flexion to 90o

 

Youtube elbow dislocation reduction technique video

 

Youtube elbow dislocation reduction technique video 2

 

Youtube elbow dislocation reduction technique video 3

 

2.  Assess stability post reduction

 

Elbow stable - extend to within 30 - 40o without redislocation

 

Elbow unstable - pronate forearm and see if can extend to within 30 - 40o (MCL intact)

 

Elbow unstable in pronation - surgery

 

3.  Confirm concentric reduction on xray

 

Stable Simple Elbow Dislocation

 

 Simple Elbow DislocationElbow Simple Dislocation Reduced

 

Definition

 

Elbow fracture with no fractures

Stable in full extension

 

Results

 

Operative versus nonoperative

 

Josefsson et al 1987 JBJS Am

- RCT of 30 patients with simple elbow dislocation

- surgery versus cast 90° for 2 weeks

- no difference in outcome 

- increased loss of extension in operative group

 

Immobilization

 

Iordens et al Br J Sports Med 2017

- RCT of 100 patients with simple elbow dislocation

- early mobilization versus 3 weeks cast

- no redislocations

- better early recover with early mobilization

- no difference at one year

 

Rafai et al Chir Main 1999

- RCT of 50 patients with simple elbow dislocation

- early mobilization versus 3 weeks cast

- increased stiffness / extension loss in cast group (19% versus 4%)

 

Outcomes

 

Anakwe et al JBJS Am 2011

- 110 simple elbow dislocations at mean 7 years

- 56% reported residual stiffness

- 8% reported subjective instability

- 62% reported residual pain

 

Unstable simple elbow dislocation

 

Definition

 

Elbow unstable after reduction

- redislocates with extension to 30 - 40o: LCL +/- common extensor origin tear

- not stable in pronation: MCL / UCL tear

 

Not concentrically reduced on xrays

 

Management

 

1. Repair LCL + common extensor origin

 

Kocher approach

- lateral collateral ligament is usually avulsed from lateral condyle

- centre of rotation is center of capitellum

- place suture anchor and repair LCL +/- common extensor origin

- assess stability

 

AO Surgery Kocher & Kaplan reference

 

Vumedi Kocher versus Kaplan

 

2.  Elbow still unstable / repair +/- reconstruct MCL / UCL

 

Medial approach

- FCU split / Hotchkiss over the top approach

- identify and protect ulna nerve

- usually avulsed from medial epicondyle 

- suture anchor repair +/- common pronator flexor origin

- mid-substance tears - reconstruct with Palmaris

 

Results

 

Schnetzke et al KSSTA 2017

- 118 simple elbow dislocations

- 49 group 1 / mild instability - good results

- 28 group 3 / severe instability - good results with ligament repair

- 41 group 3 / moderate instability - improved outcomes and lower revision rate with ligament repair

 

Heo et al Clin Orthop Surg 2021

- 21 cases of unstable simple elbow dislocation

- LCL complex +/ CEO repair sufficient for stability in 81% (17/21) cases

- 19% (4/21) required additional MCL repair 

- LCL repair only - 100% good or excellent results

- LCL + MCL repair - 50% good or excellent results