Heterotopic ossification

 

Elbow Myositis OssificansHO

 

Etiology

 

Elbow fractures treated with surgery

- distal humerus

- radial head / neck

- terrible triad

- proximal ulna fracture dislocations

 

Burns

Traumatic brain injury / spinal cord injury

 

Incidence

 

Hong et al Orthop Traumatol Surg 2015

- 124 surgically repaired elbow fractures

- HO 30%

- clinically relevant HO 20%

 

Symptoms

 

Restricted ROM

Ulna nerve symptoms - ulna nerve can be entrapped

 

Prevention

 

Indomethacin

 

Atwan et al JSES 2023

- RCT of 164 patients with surgical management of elbow trauma

- postoperative indomethacin v placebo

- no difference in incidence of HO at one year between groups

- HO indomethacin: 49%

- HO placebo: 55%

 

Radiation therapy

 

Hamid et al JBJS Am 2010

- RCT of 7 Gray single dose 3 days post elbow trauma surgery v nothing

- early termination

- nonunion rate radiation: 38%

- nonunion rate control: 4%

 

Diffential diagnosis

 

Parosteal osteosarcoma - bone is contiguous with cortical bone

 

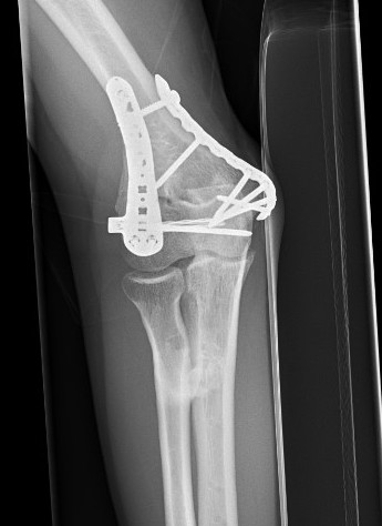
Xray

 

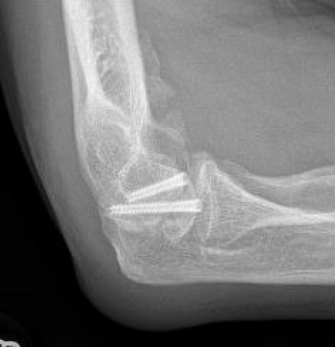
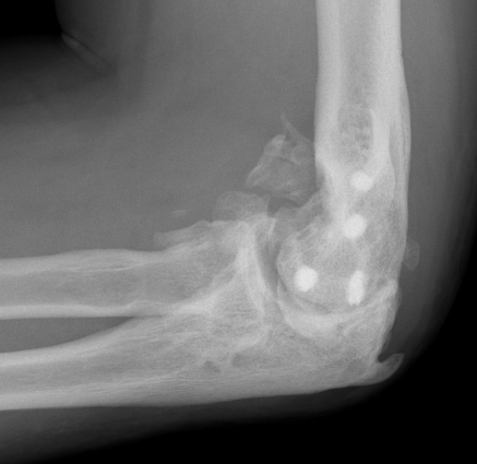
Elbow HOHOElbow Myositis Ossificans

 

HOHO

 

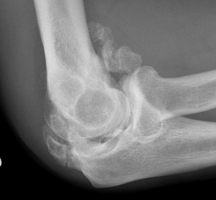
Radio-ulna synostosis

 

synostosissynostosis

 

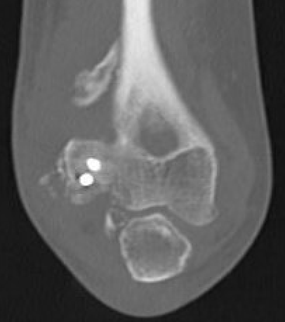
CT

 

Define anatomical location of the HO prior to surgical excision

 

Elbow CT Posterior HOElbow CT HO Anterior

 

cap hocap ho

 

Zhang et al JSES 2024

- 56 elbows with post fracture HO 

- 3D dimensional CT scans

- medial capsule 93%, lateral capsule 80%

- medial supracondylar 57%

- lateral supracondylar, radial head ulnar region 50%

 

Surgical management of heterotopic ossification

 

Timing

 

There is some evidence that delaying surgery > 12 months is unnecessary 

 

Mature bone

- smooth well demarcated edges on xray

- cold on bone scan

- normal serum alkaline phosphatase

 

Results

 

He et al Acta Orthop Traumatol 2017

- 42 cases of surgical release of elbow HO

- < 12 months (mean 7 months) versus > 12 months (mean 33 months)

- better improvement in ROM with early group

 

Koh et al JSES 2013

- 77 cases of surgical release of elbow HO

- worse outcomes with delay > 19 months

 

Chen et al JSES 2015

- 164 cases of surgical release of elbow HO

- early excision (mean 6 months) versus late excision (mean 23 months)

- no difference in recurrence rates or outcomes

 

Post resection prophylaxis

 

Indomethacin - 25 mg tds for 4 weeks

 

Radiotherapy - 7 Gray single dose post operatively

 

Technique

 

Depends on site of ectopic bone

 

AO foundation surgical release of elbow HO

 

Universal posterior approach

 

Lateral approach

- Kaplan approach - interval between ECRB and EDC

- anterior capsulectomy

- elevate triceps and aconeus posteriorly

- posterior capsulectomy

 

Medial approach

- ulna nerve release

- over the top approach - elevate anterior half of flexor pronator mass

- posteriorly elevate triceps

 

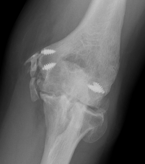
Elbow HOElbow HO Excision Post op

 

+/- hinged external fixator 

 

Elbow Post HO Excision

 

Results

 

Outcomes

 

Baldwin et al J Hand Surg Am 2011

- 64 cases of surgical release of elbow HO

- average ROM gain 49 degrees

- infection 6%

- 13% recurrence of HO

- revision surgery 11%

- recurrence rates higher in patients with neurological injury

 

Complete elbow ankylosis

 

Shivdasani et al JSES Int 2024

- 107 cases of elbow HO with complete elbow ankylosis undergoing HO resection

- 75% achieved ROM of 100 degrees

- patients maintained 95% of intra-operative ROM

- average extension loss of 20 degrees

 

Ulna nerve entrapment

 

Shivdasani et al JSES 2024

- 32 elbows with HO and bony ulna nerve encasement undergoing HO resection

- post operative indomethacin

- ROM improved from 21 to 100 degrees

- 63% of patient's ulna nerve symptoms improved

 

Radio-ulna synostosis

 

 

synostosissynostosis

 

Definition

 

Fusion between radial and ulna that limits rotation

 

Risk factors

 

High energy injury / comminution / open fractures

BBFF at same level / Monteggia

Traumatic brain injury

Delay in surgical treatment

 

Management

 

Excision

- wait for maturation between 1 and 2 years

- resection of synostosis

- +/- interposition bone wax / fat / fascia / vascularized graft

- +/- postoperative NSAIDS / radiation

 

Results

 

Jupiter et al JBJS Am 1998

- excision of synostosis in 18 limbs

- no NSAIDS or irradiation postoperative

- recurrence in 1 patient with traumatic brain injury

- no evidence of efficacy of fat graft interposition

- possible better results with earlier surgery