


Definition
Narrowing of the ischiofemoral space between lateral ischium and lesser trochanter
Entrapment / compression of quadratus femoris
Cause
Primary
- enlarged lesser trochanters
- increased proximal femoral anteversion
- coxa valga
Secondary
- proximal femoral fractures
- osteochondromas
- THA
Epidemiology
Bilateral in 25% but not always symptomatic
More common in women as ischial tuberosities wider apart
Symptoms
Pain medial lower buttock and posterior thigh
- worsened with long stride
- worsened with hip extension
Clunking / snapping
- forceful impingement of lesser tuberosity over the ischial tuberosity
Examination
Pain lateral to the ischial tuberosity
Patient on side - extend and externally rotate hip
Long stride walking test
Differential diagnosis
Iliopsoas tendonitis
Proximal hamstring tendinopathy
Piriformis syndrome
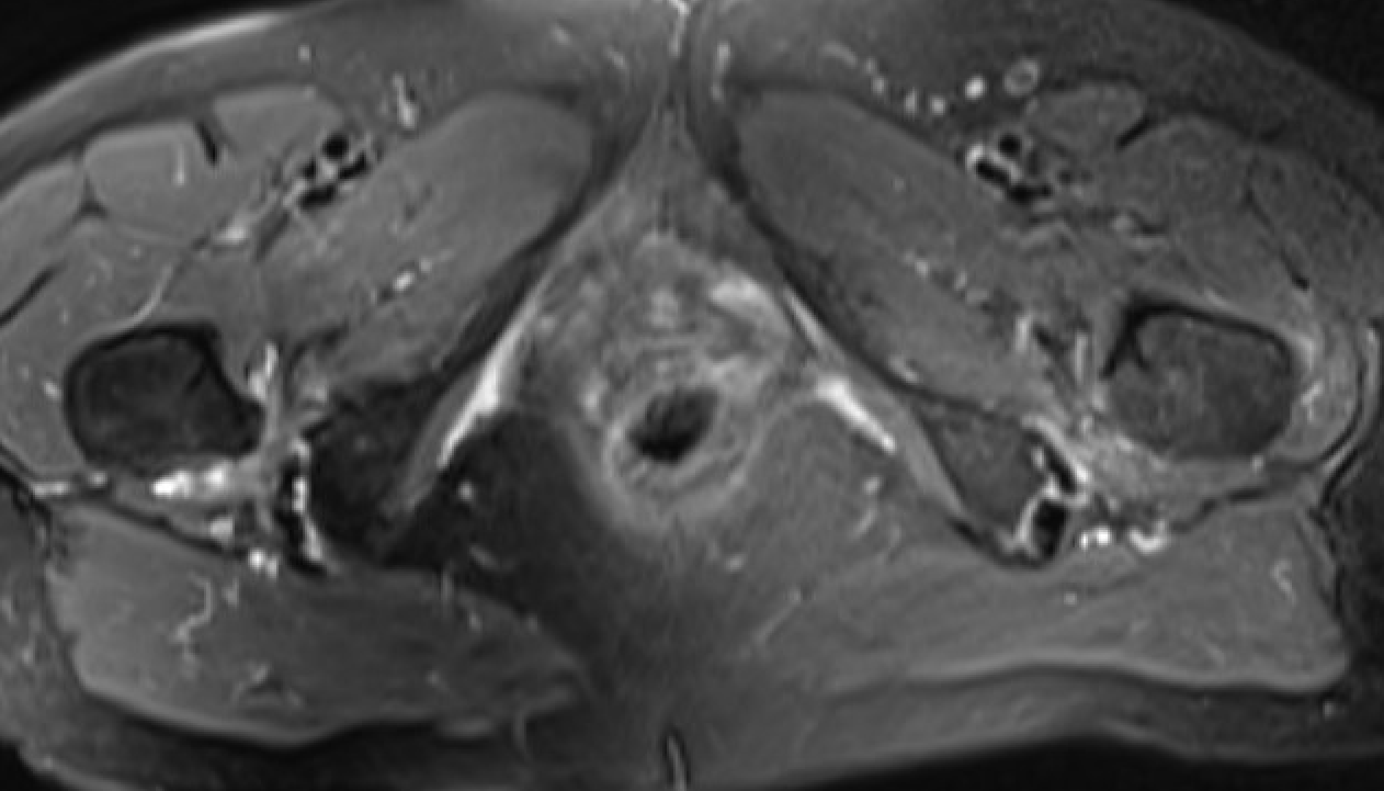
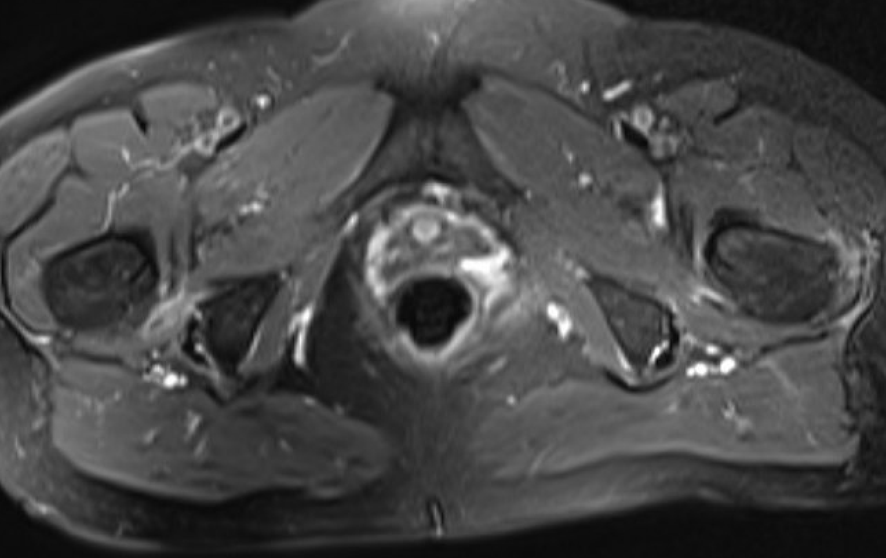
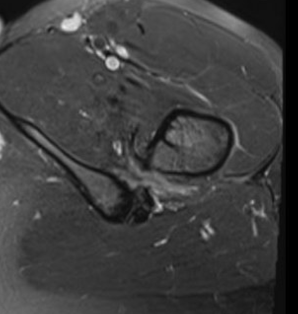
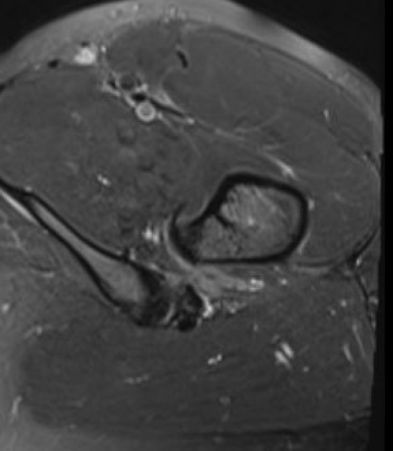
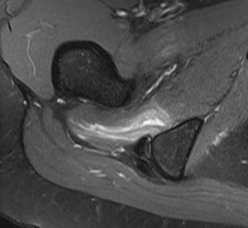
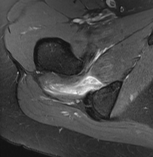
MRI
Reduced ischiofemoral space - distance between the lesser trochanter and the ischial tuberosity
Reduced quadratus femoris space - distance between hamstring tendon and iliopsoas
Inflammation / edema in quadratus femoris +/- fatty degeneration








Singer et al Skeletal Radiol 2015
- systematic review of 190 hip MRI of patients with ischiofemoral impingement
- compared to controls
- ischiofemoral space < 15 mm: sensitivity 77%, specificity 81%, accuracy 78%
- ischiofemoral space < 10 mm: sensitivity 79%, specificity 74%, accuracy 77%.
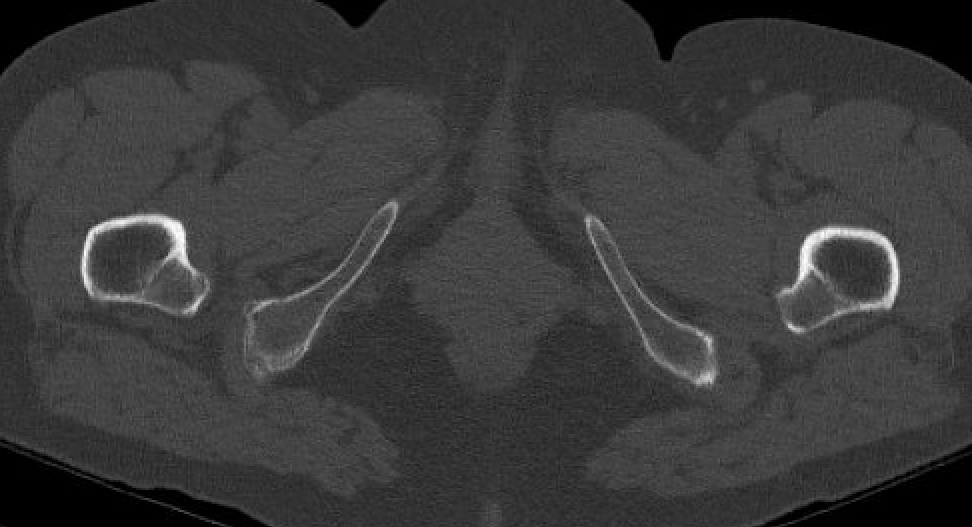
CT







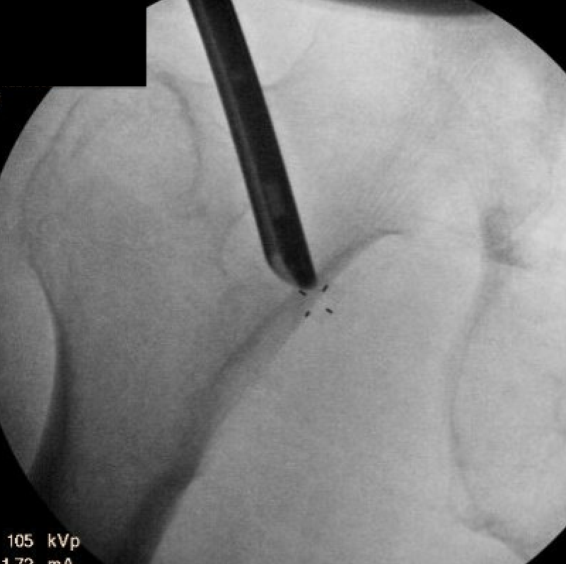
Injections
CT / Ultrasound guided local anesthetic and cortisone around quadratus
- diagnostic
- +-/ therapeutic
Operative management
Options
Lesser trochanter resection - open versus arthorscopic
Lateral ischial resection
Endoscopic lesser trochanter decompression
Anterior endoscopic technique



Advantage
- no risk of injury sciatic nerve
Disadvantage
- release iliopsoas tendon
Technique
Arthroscopy techniques anterior endoscopic lesser tuberosity resection video
Vumedi anterior endoscopic lesser tuberosity resection video
Posterior endoscopic technique
Approach
- make window in quadratus femoris
- medial circuflex flexoral artery superior
- first perforating branch of profunda femoris inferiorly
Advantage
- lesser trochanter is posterior
- preserves anterior insertion of iliopsoas tendon
Disadvantage
- risk of bleeding from medial circumflex / first perforating
- risk injury to sciatic nerve
Technique
Lesser trochanter endoscopic decompression patient supine
Video J Sports Med endooscopic decompression patient prone
Open lesser trochanter decompression +/- sciatic nerve neurolysis
Technique
Open posterior posterior approach with patient prone
Endoscopic ischial tuberosity debridement
Disadvantage
- takedown of proximal hamstring tendon
Technique
Video J Sports Med endoscopic ischial tuberoplasty video