


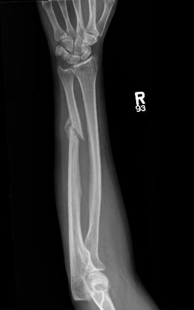
Mechanism
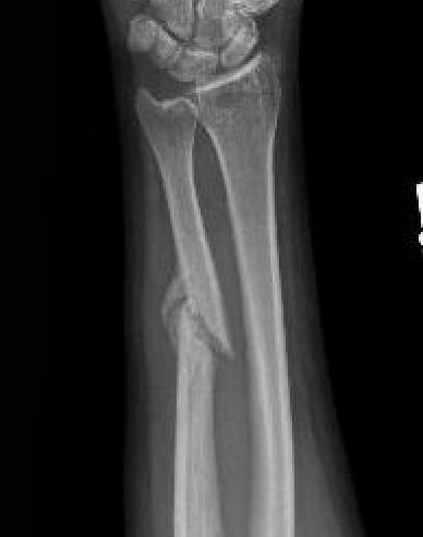
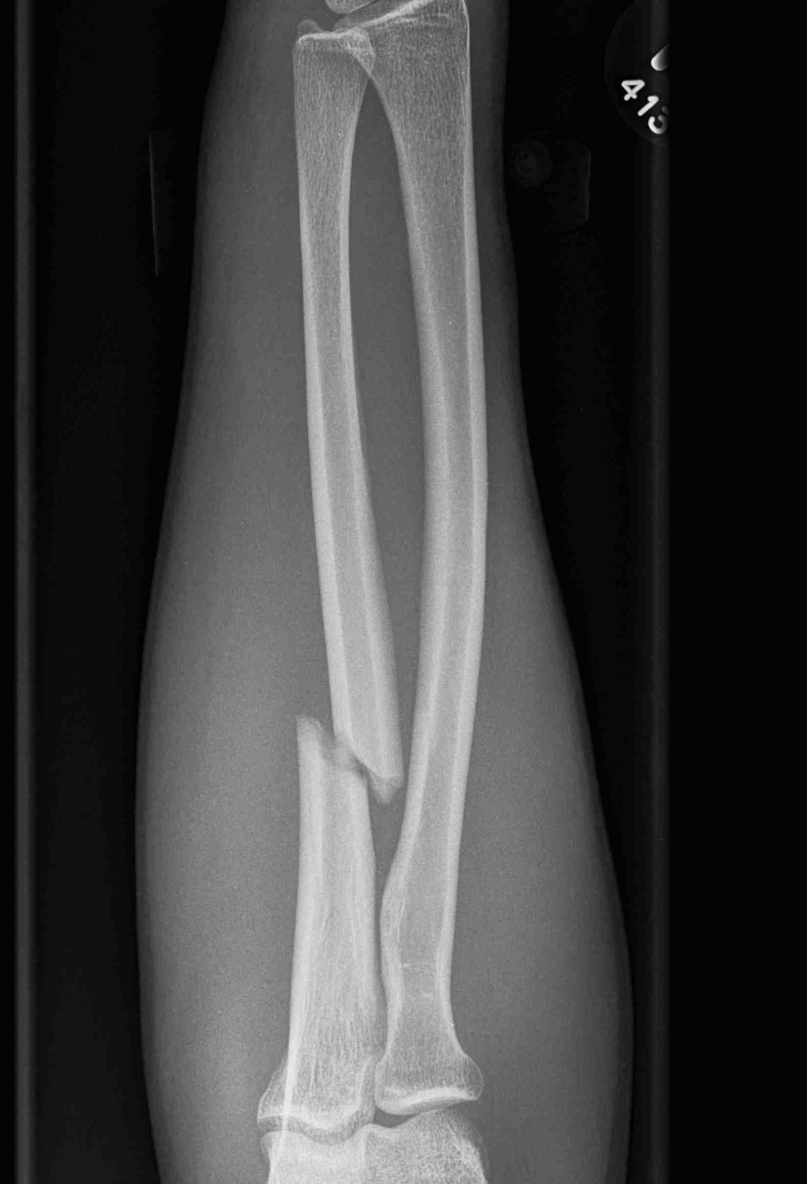
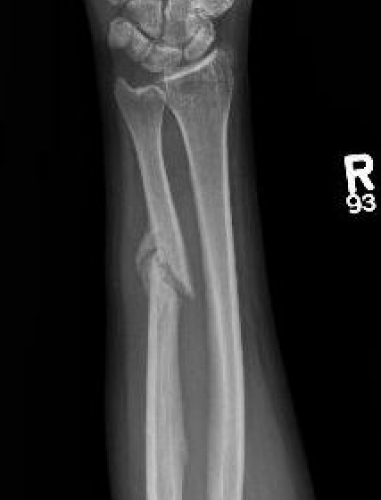
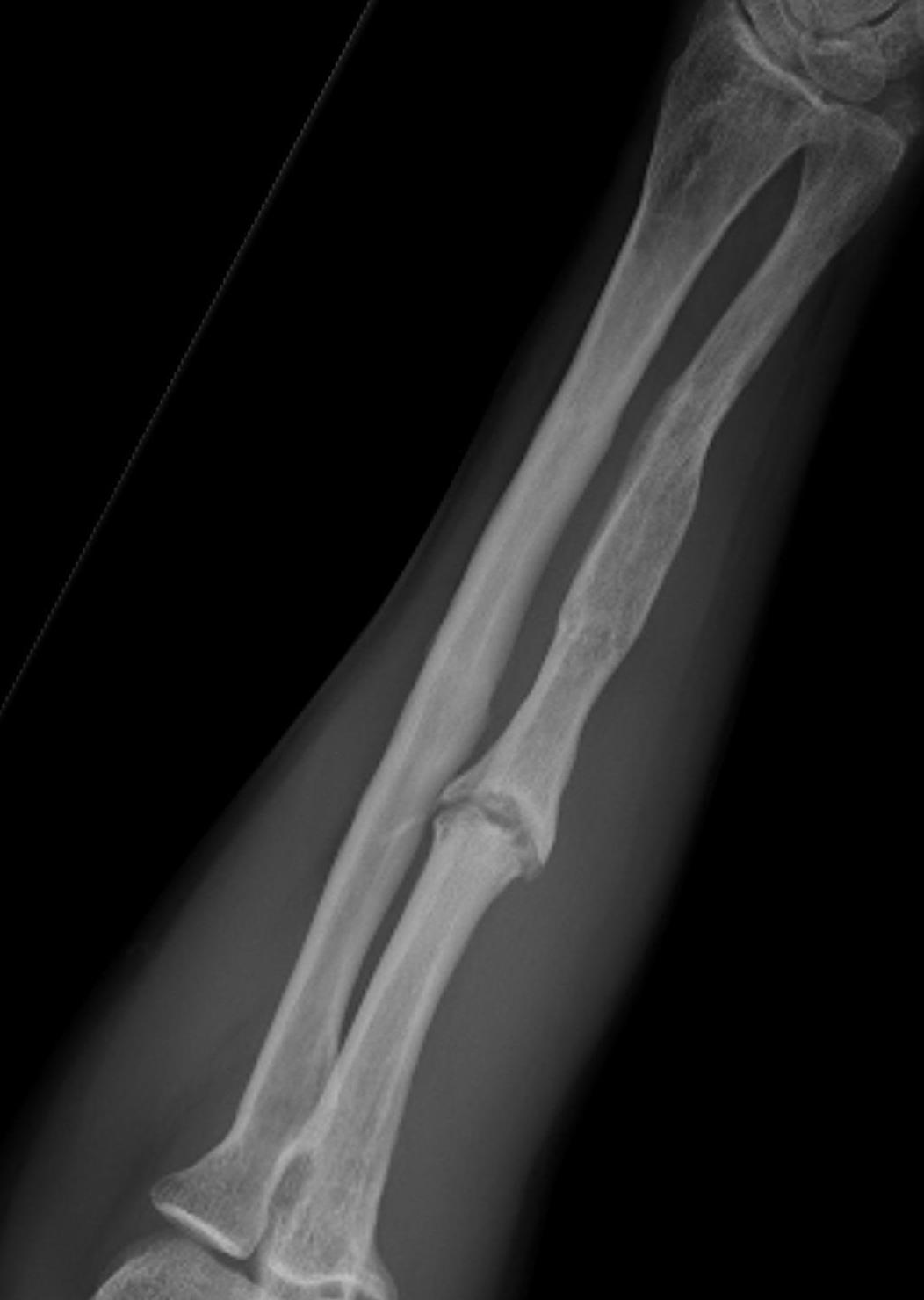
Night stick injury - direct blow or trauma to ulna
Location
Distal 1/3
Midshaft / middle 1/3
Proximal - beware Monteggia / radial head dislocation
| Distal 1/3 | Middle 1/3 | Proximal 1/3 |
|---|---|---|
| Higher nonunion rates | Beware Monteggia / radial head dislocation | |
![]() |
![]() |
![]() |
Nonoperative management
Indications
Minimally displaced fractures
- < 50% displaced
- < 10 degrees angulation


- 21 cases of nonunion of isolated ulna fractures
- associated with > 50% displacement
- 146 isolated ulna fractures
- worse outcomes with angulation > 10 degrees
Results
Long arm cast not necessary
Van Leemput et al Acta Orthop Belg 2007
- 102 isolated ulna fractures
- long arm cast v short arm cast v bandage
- no difference in union rates
Increased nonunion rates with midshaft versus distal fractures
Henry et al J Hand Surg Am 2023
- 95 isolated ulna fractures
- union rate nonoperative: 91%
- union rate operative: 97%
- increased nonunion with midshaft (30%) versus distal 1/3 fractures (2%)
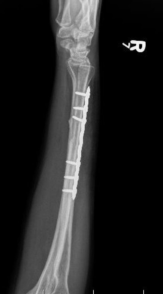
Operative management
Indications
Acute fractures
- > 50% displacement
- > 10 degrees angulation
- midshaft ulna fractures - higher risk of nonunion
Nonunions




Options
Compression plating
Intra-medullary nail


Results
- IM K wire v plate in 54 patients
- 3 nonunions with plate, none with IM wire
- 70% of patients required wire removal
- 11% of patients required plate removal
Technique




Complications


Ulna nonunion after plating

